Jalaram Dental Clinic
  • +91-992-583-8309 | Mon-Sat: 10:00 AM to 9:00 PM | Sun: 9:00 AM to 1:00 PM

Speciality Treatments

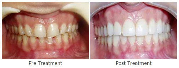
Orthodontic Treatment


Orthodontia is a speciality of dentistry that is concerned with treatment of crooked, malaligned, forwardly or backwardly placed teeth. Orthodontic treatment can help fix patient’s teeth and set them in right place. Usually braces and aligners are used to accomplish this process.

Braces

the most common appliance consist of bands, wires and brackets. Bands are secured around tooth or teeth and used as anchor for the appliance while brackets are bonded to front of all teeth. Arch wires are passed through the brackets and attached to bands. Tightening of the arch wire puts pressure on the teeth gradually moving them to proper position. Patients have option whether to go for metal or ceramic(clear) braces.

Modern patients are very much concerned with their appearance during treatment. At Jalaram Dental Clinic we have variety of procedures that do not change your appearance while treatment is being done.

Alingers:

An alternative to traditional braces for adults, a series of aligners are used to move teeth in the same way and get desired results. Aligners are virtually invisible and can be removed for eating, brushing and flossing.

Lingual Braces:

Also known as invisible braces, these are attached to the inside surfaces of the teeth that face tongue. There they are virtually invisible from outside even close-up.

Dental Implants


Dental implants is latest technique available for replacement of missing teeth. A dental implant acts as a replacement for missing root of the tooth. Like tooth roots implants are secured in jaw bones and are not visible once surgically placed.

They are used to secure crowns(the parts of teeth seen in the mouth), bridgework or dentures by variety of means. They are made up of titanium which is lightweight, strong and biocompatible which means that it is not rejected by the body. Dental implants have the highest success rate of any implanted surgical devices.

Periodontal Surgery


Periodontal surgery is a surgical procedure designed to restore and regenerate form and function of damaged tooth supporting structures i.e. gums, periodontal ligament and bone. The long term goal of periodontal surgery is to increase life expectancy of the teeth by removing bacterial plaque, tartar and damaged tissue. After surgery patient has to maintain good oral hygiene else periodontal disease can recur and lead to loss of teeth.

Wisdom Molar Surgery


Wisdom teeth or third molars area unit sometimes blocked from coming into the mouth due to lack of area. this is often cited as wedged and may cause multiple issues if not removed. There area unit varied degrees of impaction during which teeth area unit fully or part coated by bone and gums. bigger than ninetieth of the population has or has had a minimum of one disorder.

Bleaching


Tooth lightening may be a procedure that lightens discoloring of enamel, and dentine chair-side lightening may be a procedure done by knowledgeable that begins with a preparation amount, followed by as very little as forty five minutes for bleaching. The bleaching light-weight is plasma arch light-weight whereas the active part on the bleeching gel is twenty sixth oxide.

After bleeching one may even see Associate in Nursing eight shade brighter smile, counting on however powerful the stains ar. throughout the procedure, patient is comfy aside from people with terribly robust inborn reflex or anxiety.

Flossing, brushing twise and occasional enhance are suggested once the complete procedure is over. Minor tingling sensation of sensitivity might occur with some patients however once the procedure is over they get dissipated shortly as anti-sensitivity dentifrice is used.

The most vital step in lightening is that the correct identification of reasons on why the teeth have gotten stained. Most folks are going to be having a couple of queries, associated with this procedure that we have a tendency to as a dental team have tried to answer.

Full Mouth Rehabilitation


Full mouth rehabilitation is required when patient has multiple dental problems (several decayed teeth, missing teeth, gum problems, etc). Full mouth rehabilitation starts with OPG x-ray(full mouth x-ray with teeth and jaws). Tooth fillings and scaling is done if required. Decayed teeth are treated with root canal treatment. Missing teeth are replaced with crown and bridge or implants. Periodontal surgery is performed in cases with gum problems. Full mouth rehabilitation cases presents with multiple challenges both for dentist and patients. It is quite time consuming and require bulk appointments. Here we have all the technology and knowledge required for performing lengthy procedures and everything is done as per patient convenience.

Treatment Of Physically And Mentally Challenged Patients


Special attention is required for patients with autism, alzheimer disease, epilepsy, cerebral palsy and down syndrome. They present with a number of dental problems since maintenance of oral hygiene is difficult. Dental treatment is often difficult in these cases since they include wide range of ages(from children to elderly) with different pathologies that can affect oral cavity. At Jalaram Dental Clinic special attention is given to special cases and every effort is made so that they can be comfortable while being treated.