Jalaram Dental Clinic
  • +91-992-583-8309 | Mon-Sat: 10:00 AM to 9:00 PM | Sun: 9:00 AM to 1:00 PM

Basic Treatments

Dental CheckUp


Maintaining good oral health is important to your overall health as well. Learn what to expect from a basic dental checkup.

In addition to daily brushing and flossing, you can help protect your oral health by seeing your dentist regularly for checkups. It’s recommended that most people get a dental checkup every six months, but your dentist may recommend more frequent or fewer visits, depending on your dental health history.

The Dental Checkup: What to Expect

In most cases, a dental hygienist and dentist will perform your dental checkup. Not every dentist operates the same way, but a dental checkup typically involves:

Cleaning and polishing:

Your dental hygienist will use a special instrument called a hand scaler or ultrasonic dental instrument to scrape and remove the tartar from your teeth. He or she will then polish your teeth, often with a rotating rubber cup or brush, to remove any remaining plaque or stains.

Education:

After the cleaning, your hygienist or dentist will discuss any dental hygiene problems that were detected, and show you how to brush and floss more effectively, if necessary.

Examination:

Both your dental hygienist and dentist will examine your teeth, gums, and mouth, to look for changes or signs of a problem (for example, a cavity or gum disease or early signs of oral cancer). During the examination, your dentist may also use a special probe to measure the “pockets” between your teeth and gums, an explorer tool to poke at your teeth and determine if any cavities are present, and a mouth mirror to get a better view of the sides and back of your teeth. If you have any visible problems, your dentist may recommend a particular treatment or may refer you to a specialist, such as a periodontist or orthodontist, for further treatment.

X-rays:

At some of your dental visits, your dentist may decide to take X-rays of your teeth to look for decay, gum disease, or other dental problems. X-rays expose you to radiation so in order to avoid having them done more than necessary, bring copies of previous X-rays with you when you’re visiting a new dentist.

Tooth Cleaning


Dental cleanings involve removing plaque (soft, sticky, bacterium troubled film) and tartar (calculus) deposits that have engineered informed the teeth over time. Your teeth square measure frequently bathed in spittle that contains metallic element and different substances that facilitate strengthen and shield the teeth. whereas this is often an honest factor, it conjointly means we tend to tend to urge a build-up of metallic element deposits on the teeth. This chalky substance can eventually build up over time, like limescale in an exceedingly pipe or kettle. typically it’s tooth colored and may simply be mistaken as a part of the teeth, however it can also vary from brown to black in color.

If the dimensions, or calculus (tartar, as dentists prefer to decision it) is allowed to accumulate on the teeth it’ll sadly offer the correct conditions for bacterium to thrive next to the gums. the aim of the cleanup and sprucing is essentially to go away the surfaces of the teeth clean and sleek in order that bacterium square measure unable to stay to them and you’ve got a stronger likelihood of keeping the teeth clean throughout your regular home care.

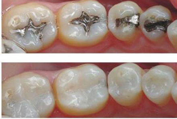
Restoring Cavities


A dental restoration or dental filling could be a dental restorative material wont to restore the perform, integrity and morphology of missing tooth structure. The structural loss usually results from tooth decay or external trauma. it’s additionally lost designedly throughout tooth preparation to enhance the aesthetics or the physical integrity of the supposed restorative material. Dental restoration additionally refers to the replacement of missing tooth structure that’s supported by dental implants.

Dental restorations are often divided into 2 broad types: direct restorations and indirect restorations.

All dental restorations are often additional classified by their location and size. A passageway filling could be a restorative technique wont to fill the area wherever the dental pulp usually resides.

Tooth saving procedure- RCT


A passageway could be a treatment accustomed repair and save a tooth that’s badly decayed or becomes infected. throughout a passageway procedure, the nerve and pulp ar removed and therefore the within the tooth is cleansed and sealed. while not treatment, the tissue encompassing the tooth can become infected and abscesses could kind.

Root Canal Treatment consists of: The removal of the infected or irritated nervous tissue that lies among the basis of the tooth. it’s this infected pulp tissue that causes associate degree ultimate symptom.

The first step in a very passageway is to get access to the nerve. this is often accomplished by establishing atiny low access gap within the prime of the tooth. it’ll be done underneath an area anesthetic.

The length of the basis canal is decided and therefore the infected pulp is removed.At a similar visit, the canal wherever the nerve is found are reshaped and ready to just accept a special passageway filling material. the amount of visits necessary to finish your passageway can depend on many factors together with the amount of nerves within the tooth, the infected state of the nerve, and therefore the complexness of the procedure.

The final step in your passageway are the protection of the basis canal with a sterile, plastic material referred to as gutta percha. this is often exhausted order to forestall doable future infection. If treated early, passageway medical aid needn’t be uncomfortable. With the employment of native anesthetics, the complete procedure are often completely painless.

The success rates for passageway medical aid are rumored to be as high as ninety fifth.

Sometimes once there has been long standing infection or symptom, there is also some soreness related to the basis canal visit. If this could prove to be true, you may run specific directions to follow to reduce the discomfort. once associate degree infection is gift, it’s going to be necessary to require associate degree antibiotic. If pain ought to be gift, analgesics might have to be prescribed.

The tooth can then presumably would like a post and core and a crown so as to re-establish traditional kind and performance. This call are primarily based upon many extra factors.

Tooth Capping


Teeth capping, additionally referred to as dental crowns,is a straightforward and routine method. Your medical practitioner can see thereto that the new crown blends in with neighboring teeth and in barely some days, you may hardly notice the new cap. Here’s slightly guideon why teeth may have capping, the method of capping and any pain and risks related to the medical procedure.

What square measure Crowns?

Crowns may be made up of many materials. All-porcelain crowns and ceramic ware crowns coalesced to metal square measure extremely sturdy and unremarkably employed by dentists to repair teeth.

Why Teeth may have Capping?

Teeth capping is usually wont to restore broken or broken teeth. Some crowns square measure place in situ once the structure continues to be healthyyet the tooth is severely broken from cavities and needs structural support. Capping is additionally used for cosmetic modifications once teeth square measure severely worn down.

How Teeth Are Capped?

Two appointments of approx. half-hour every square measure needed to finish the capping method. The structure and gum space square measure anesthetised therefore the patient feels no pain. The medical practitioner prepares the tooth for a cap by filing down the tooth to make a robust base for the cap.

Crown and bridge


Dental crowns square measure either partial or full replacements for one or a lot of of your teeth. they’ll be wont to take the place of a broken or discoloured tooth, or repair a tooth that has been broken or tame any manner.

A dental crown could be a tooth-shaped cap that’s placed over a tooth covering the tooth to revive its form and size, strength, and/or to enhance its look. The crowns, once cemented into place, totally enclose the complete visible portion of a tooth that lies at and higher than the gum line.

Tooth removal


Although permanent teeth will last a period, teeth that became broken or decayed might have to be removed or extracted.

Other Reasons Include:

A crowded mouth:

generally dentists extract teeth to organize the mouth for orthodonture. The goal of orthodonture is to properly align the teeth, which can not be doable if your teeth ar too massive for your mouth. Likewise, if a tooth cannot break through the gum (erupt) as a result of there’s not area within the mouth for it, your medical man might suggest extraction.

Infection:

If cavity or injury extends to the pulp — the centre of the tooth containing nerves and blood vessels — bacterium within the mouth will enter the pulp, resulting in infection. If infection is therefore severe that antibiotics don’t cure it, extraction could also be required to forestall the unfold of infection.

Risk of infection:

If your system is compromised (for example, if {you ar|you’re} receiving therapy or are having associate organ transplant) even the danger of infection in an exceedingly specific tooth could also be reason to get rid of the tooth.

Gum sickness:

If periodontitis — associate infection of the tissues and bones that surround and support the teeth — have caused loosening of the teeth, it’s going to be necessary to extract the tooth or teeth.

Denture Fabrication


A dental appliance could be a removable replacement for missing teeth and adjacent tissues. it’s product of acrylic, generally together with numerous metals. Complete dentures replaces all the teeth, whereas a dental plate fills within the areas created by missing teeth and prevents different teeth from ever-changing position.

Complete dentures area unit either typical or immediate. a traditional dental appliance is placed within the mouth a couple of month on balance the teeth area unit removed to permit the correct healing, whereas an instantaneous dental appliance is placed as presently because the teeth area unit removed.

The drawback behind an instantaneous dental appliance is that it’s going to need additional changes once healing has taken place.

Will dentures build American state look different?

Dentures is created to closely jibe your natural teeth so very little modification in look are noticeable. Dentures might even improve the design of your smile and facilitate fill out the looks of your face and profile.

Will I be ready to eat with my dentures?

Eating can take slightly observe. begin with soft foods withdraw little items. Chew slowly exploitation either side of your mouth at an equivalent time to stop the dentures from tipping. As you become at home with mastication, add different foods till you come to your traditional diet.

Will dentures modification however I speak?

Pronouncing bound words might need observe. Reading aloud and continuation difficult words can facilitate. If your dentures “click” whereas you’re talking, speak additional slowly.

You may notice that your dentures often slip once you laugh, cough or smile. Reposition the dentures by gently biting down and swallowing. If a speaking downside persists, consult your tooth doctor.